Skolioos – tänapäeva nuhtlus

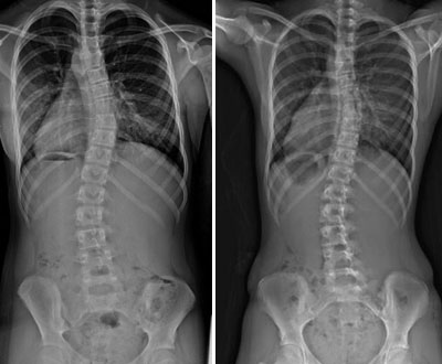
1.04.2017 avaneb Eesti inimestel, kel probleeme seljaga või tegelevad teiste ravimise või nõustamisega, kohtuda ja osaleda seminaril, mille viib läbi Tallinnas Moskva Ülikooli professor Jerjomuškin. Eelkõige peatub professor skolioosil, selle vältimisel ja ravi võimalustel. оукощьгылшт Professori seminar aprillis Tallinnas toimub 1-päevane seminar teemal „Seljaprobleemid, nende vältimise- ja ravi võimalused“. Seminaril on tähelepanu keskpunktis skolioos. Hommikupoolsel osal toimub teoreetiline loeng, kus selgitatakse selja probleemide eelkõige skolioosi tekkepõhjuseid, olemust, vältimise- ja ravivõimalusi. skolioos_selg Päeva teise poole täidab praktiline õpituba, kus külalislektor-arst-ortopeed tutvustab praktilisi võtteid ja harjutusi, et vältida skolioosi teket või leevendada juba olemasolevat kõrvale kallet või stabiliseerida inimese seisundit. Õpitoas võimalus saada vastused selja probleemidega seotud küsimustele! Jerjomuskin on suurte kogemustega arst-ortopeed-õppejõud Moskva Ülikoolis, mitme ravimassaaži õpiku autor ja Veneföderatsiooni massööride juhtkonna liige.   Kuna seminar on ka praktiline, on kohtade arv piiratud. Kõik seminaril osalejad saavad EMTK tunnistuse osalemise kohta. Seminari hind 125 EUR, registreerides enne 01.03.2017 hind 110 EUR EML liikmetele hind 99 EUR   *Kursuse täpne kellaaeg on täpsustamisel. Lisainfo ja registreerimine aadressil koolitused@massaaz.ee

This site is registered on wpml.org as a development site. Switch to a production site key to remove this banner.